口腔大全
精選推薦
抽煙引起的黃牙要如何美白?
來源:牙康網
時間:2023-09-28 13:41:37
責編:護牙顧問
人氣:
抽煙引起的黃牙要如何美白?
長期抽煙的人,牙齒和手指都會有發黃的現象,黃黃的牙齒給人一種很不好的印象,因此很多抽煙的人想要通過美白方式把牙齒變白,那么抽煙引起的的黃牙要如何美白呢?
長期抽煙會使牙齒會發黃,更有甚者會出現發黑的現象。發黃的牙齒不僅影響整體的美觀,而且還影響心理健康。
抽煙引起的黃牙要如何美白?
第一:超聲波洗牙
超聲波洗牙主要是針對牙齒護理不周引起牙漬牙黃的情況。超聲波洗牙過程中有時候也會用到噴砂技術,就是潔牙機在高壓條件下噴出的一種可溶性的鈉鹽,將牙齒表面的煙斑、茶垢、色素有效的去除。

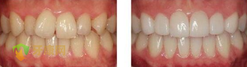
美白前后對比
第二:冷光美白技術
冷光美白是一項正流行于歐美的最新興的牙齒變白技術,它將高強度彩光定點照射,它不僅可以去除牙齒表面的色素沉積,及深層所附著的色素,美白效果持久有效,僅需短短的30分鐘,即可讓您擁有一口潤白亮澤的牙齒。對中度牙漬,色素問題美白效果可維持2年以上,相比其他的牙齒美白技術更持久。
第三:美容修復技術
針對重度色素牙,牙煙漬已經積聚很久的情況,專家推薦“美容修復”,它突破傳統烤瓷牙的各種弊端,強調牙齒的美容效果,對錯位牙、色素牙、畸形牙的均可以在七天實現修復矯正,多年后牙齦不易出現黑線等優點,從而達到終身有保障的美容效果。
相關閱讀:
為您推薦:
猜您喜歡:
- 牙髓炎吃了布洛芬睡一覺好了?急性牙
- 德國樹脂補牙材料和美國3M樹脂補牙
- 做種植牙有哪些優缺點
- 美白鑲烤瓷牙可能會傷神經
- 牙齒矯正會一直疼痛嗎?牙齒矯正就診
- 牙齒美容四步走
- 做種植牙有哪些步驟
- 寶寶有牙漬 易患牙齦炎
- 那些情況下的乳牙需要拔除
- 哪三種情況需要做烤瓷牙
- 茶漬牙怎么治療
- 種植牙使用年限有多久
- 做了烤瓷為何刷牙還要出血
- 推薦幾種美白牙齒的方法
- 二氧化鋯全瓷牙好嗎
- 烤瓷牙的配色統計
- 牙齒烤瓷牙危害一般有哪些
- 烤瓷補牙有哪些優點
- 單顆后牙種植(視頻)
- 奧林匹克公園 烤瓷牙哪里比較好
- 烤瓷牙護理需要注意哪些問題呢?
- 關于關注牙齒健康從小做起的問題
- 過小牙,烤瓷牙來補救
- 兒童牙齒發育異常有哪些
- 認識烤瓷牙優缺性
- 牙齒矯正的最佳時間 牙齒矯正宜早
- 做種植牙有年齡限制嗎 哪些人適合
- 成人畸形牙正畸難度大?
- 牙齒種植療程可望大幅縮短
- 牙齒矯正方法有哪些種類呢?
- 拔牙矯正后會留有牙縫嗎?
- 洗牙對牙齒好不好呢
- 超聲波潔牙后記得要拋光
- 吃糖真的會蛀牙嗎?
- 當牙齒疼痛牙齦出血時應該吃什么藥
- 歡樂谷哪個醫院矯正牙齒好
- 牙齒美白為什么推崇冷光美白
- 爸媽的觀念也不全是對的--老年口腔
- 什么因素會影響烤瓷牙的壽命?
- 種植牙如何維護可以避免發炎?
- 韓國種植體系統Dentium介紹
- 牙齒不齊是怎么回事
- 補牙會導致洞越來越大嗎?
- 北京烤瓷牙的種類
- 門牙裝什么烤瓷牙好
- 托槽掉落怎么補救? 不及時處理牙套
- 種植外科基本技術——外科切口設計
- 為什么做烤瓷牙要先磨牙
精選閱讀:
- 廣西藍天口腔怎么樣?是專注口腔問
- 阜陽牙科醫院價格表:含牙齒矯正\
- 以色列種植體系列有哪些?怎么選?本文
- 鄠邑區牙科哪家好?西安海濤口腔與
- 東海整牙好的醫院排名:貝可口腔/微
- 東海牙齒矯正哪家好?貝可口腔/芮萌
- 沈陽種植牙齒哪家醫院好?米蘭口腔|
- 東海縣的口腔醫院價格表:種植牙500
- 阿壩看牙哪家便宜還靠譜?統計當地五
- 四平整牙箍牙要多少錢?傳統金屬/隱
- 樂山便宜又正規牙科有哪些?良心推薦
- 為您找到了!地包天牙齒矯正的較佳年
- 誰知道深圳港龍口腔收費如何?看這份
- 貴陽種植牙多少錢一顆?2024種植牙價
- 求解矯正牙齒3萬塊錢貴嗎?一般都是
- 北京諾美口腔2024價格表參考,吸附性
- 撫順牙科醫院2024價格表更新:種植牙
- 2024新疆種植牙、矯正牙齒、牙齒美
- 韓國sg種植體怎么樣?有哪些型號?有四
- 湘潭唯雅口腔特色項目收費公開,種植
- 韓國多普勒與奧齒泰種植牙對比:哪個
- 西安周至縣哪個牙科比較好?對比海
- 北京諾美口腔怎么樣?國內連鎖品牌+
- 問:佳木斯牙齒矯正價格多少錢?答:2024